Fluoride Treatment in Ballarat

Protecting Your Smile at Delacombe Family Dental

At Delacombe Family Dental, we provide safe and evidence-based Fluoride Treatment in Ballarat to help strengthen teeth, prevent cavities, and support long-term oral health. Our experienced Ballarat dentists follow the latest clinical guidelines and deliver care that aligns with  AHPRA standards.

Fluoride plays a valuable role in protecting enamel against decay. It helps remineralise weakened areas and makes teeth more resistant to acid attacks from food, beverages, and bacteria. Whether you are an adult, a teenager, or a child, fluoride can be an important part of maintaining a healthy smile.

Why Consider Fluoride Treatment?

Every mouth is different, and some people may benefit from additional fluoride support. Your dentist will assess your oral health, lifestyle, risk factors, and dental history before recommending Fluoride Treatment.

Fluoride helps to:

  • Strengthen tooth enamel
  • Reduce the likelihood of cavities
  • Protect areas of early mineral loss
  • Support children’s developing teeth
  • Improve long-term oral health when combined with daily brushing and good hygiene habits

Our Ballarat Fluoride Treatment options are suitable for patients of all ages and are performed using materials approved for safety and effectiveness.

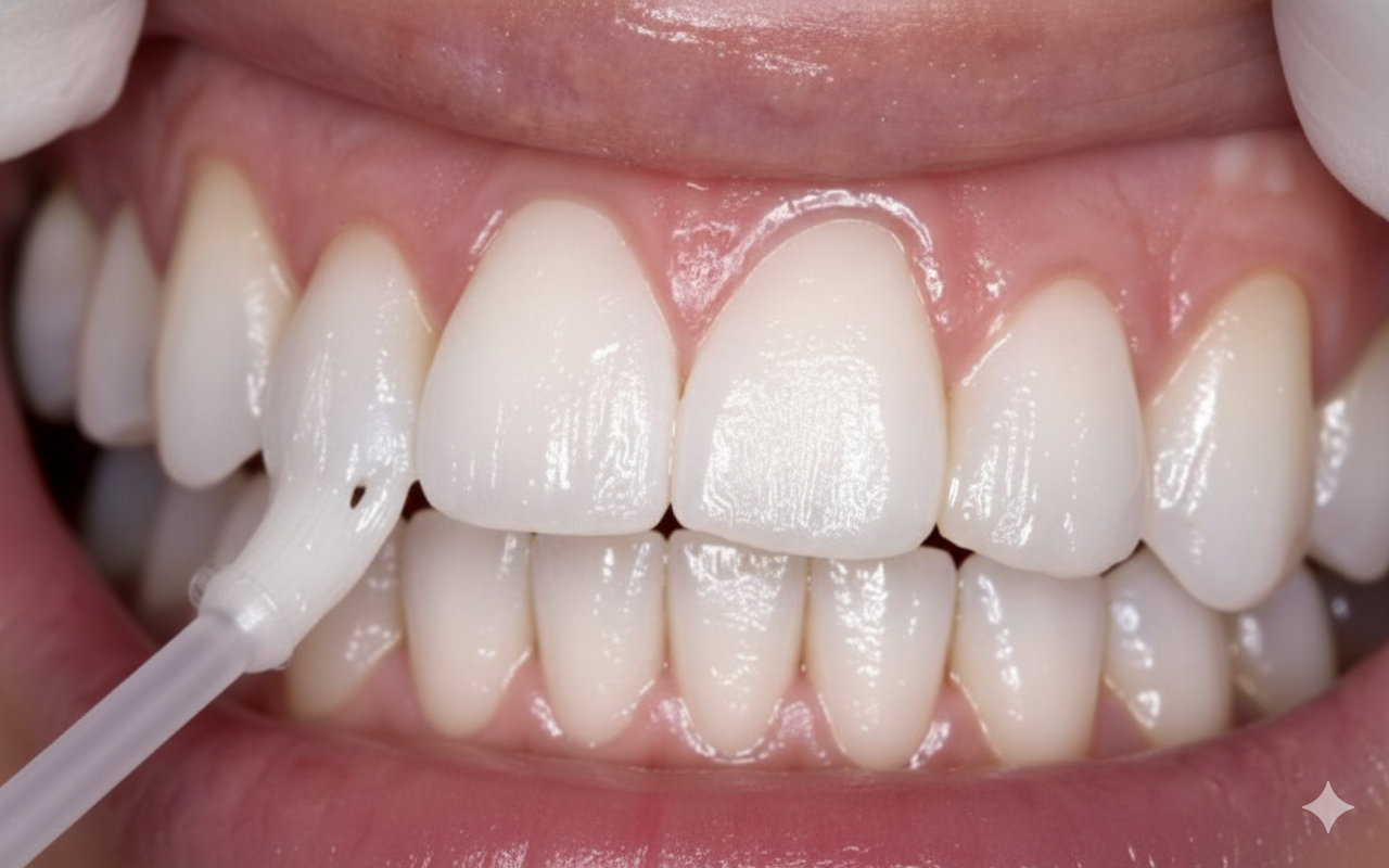
What Happens During a Fluoride Treatment?

A typical appointment for Fluoride Treatment Ballarat patients is simple, comfortable, and takes only a few minutes. Your dentist may apply fluoride in the form of a gel, foam, or varnish, depending on your needs.

The steps usually include:

  1. A quick dental examination
  2. Gentle tooth cleaning if required
  3. Application of the fluoride product
  4. Post-care advice, including when to eat or drink next

This process is pain-free and safe. The treatment is performed only after your dentist confirms that it is appropriate for you or your child.

Who Can Benefit from Fluoride Treatment?

Your dentist may recommend fluoride if you:

  • Experience frequent cavities
  • Have exposed roots or enamel erosion
  • Wear braces or orthodontic appliances
  • Have dry mouth or reduced saliva
  • Consume sugary or acidic foods regularly
  • Want additional protection during routine check-ups

Children especially benefit from supervised fluoride applications during their development years.

Why Choose Delacombe Family Dental?

At Delacombe Family Dental, your safety and comfort are our priority. Our dentists are trained, qualified, and committed to providing ethical care that meets AHPRA standards. We use evidence-based techniques and ensure that every Fluoride Treatment is personalised to your needs.

We take the time to explain your options, answer your questions, and help you make informed decisions about your oral health.

Ask Us About Your Preferred Appointment Time

At Delacombe Family Dental, we do our utmost to cater to the needs of our patients. We make every effort to accommodate your preferred appointment time. Feel free to contact us with any questions or to check availability. Your convenience and satisfaction are our top priorities.

All Health Funds Participating Under HICAPS Accepted

Can’t See Your Health Fund? Contact your provider to see if HICAPS is available on your policy.

Preferred Provider for

FAQs

Yes. When applied by a qualified dental professional, fluoride treatment is considered safe and effective for both adults and children.

Your dentist will recommend a frequency based on your oral health needs. Some patients benefit from treatments every six months, while others may require them less often.

Fluoride reduces the risk of decay but cannot replace daily brushing, flossing, and healthy diet habits.

Yes. Professional fluoride applications can help strengthen developing teeth and reduce the risk of early decay.